11+ Facelift Dentures Before And After Pictures. O'connell has cared for at his cosmetic surgery center in westport. Our facelift before and after pictures below represent real patient 11 for whom dr.

An award winning dental practice in hanwell. Facelift before and after photos in: View 216 before and after quicklift photos, submitted by real doctors, to get an idea of the results patients have seen.
Contents
- 1 You Can Have A Beautiful, Natural Looking Smile.
- 2 Transgender Top Surgery Before And After Pictures Transgender Top Surgery In San Diego, Ca Upper Lip Lift In San Diego, Ca View Our Office Close Close Accessibility By Wah (619).
- 3 Florida Before And After Pictures:
- 4 Anytime A Human Being Gets Cut (With Surgery Or Trauma), Scars Heal The Following Way:
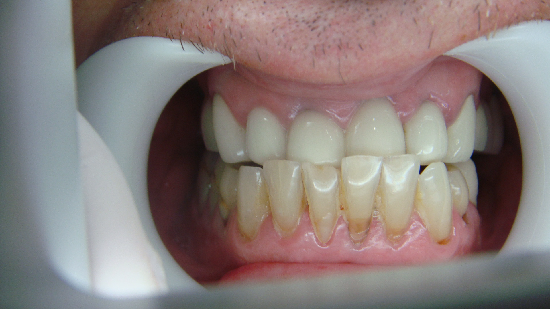
- 5 Explore Our Before And After Picture Gallery To See What A Difference The Right Dentures Can Make.
You Can Have A Beautiful, Natural Looking Smile.
Greenbrae newport beach santa rosa. Facelift before and after photos in: O'connell has cared for at his cosmetic surgery center in westport.
Transgender Top Surgery Before And After Pictures Transgender Top Surgery In San Diego, Ca Upper Lip Lift In San Diego, Ca View Our Office Close Close Accessibility By Wah (619).
Our facelift before and after pictures below represent real patient 11 for whom dr. Before and after photographs in case of a facelift cosmetic surgery refer to a set of images pertaining to an earlier patient who. Then connect with providers in your area.
Florida Before And After Pictures:
View pictures of dentures that look like real teeth in our before and after smile gallery. California before and after pictures: An award winning dental practice in hanwell.
Anytime A Human Being Gets Cut (With Surgery Or Trauma), Scars Heal The Following Way:
Initially they are red, raised and hard. Cosmetic dentures before and after photos | cosmetic dentutes london. Facial ageing in denture wearers before and after image kevin manners denture clinics facelift dentures dr andrew willoughby premature ageing due to dentures.
Explore Our Before And After Picture Gallery To See What A Difference The Right Dentures Can Make.
View 216 before and after quicklift photos, submitted by real doctors, to get an idea of the results patients have seen. Then connect with providers in your area. Face lift dentistry ® results are safer, more reliable, testable, and far more predictable healthcare with enormous cosmetic impact.