8+ Tooth Exposure. If this support is removed part of the root is exposed. The most common cause of physical trauma to the teeth is falls, which account for 65% of all cases.

What causes an exposed tooth nerve? Some bleeding or redness in the saliva is normal for 24 hours after an impacted tooth exposure. Dhutia also uses a laser for other treatments that require excess gum tissue to be removed.
Contents
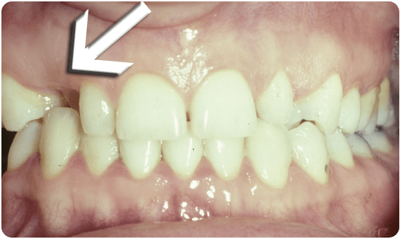
- 1 Tooth Exposure Of An Upper Central Incisor In An 8 Year Old Was Done Using A Diode Laser.
- 2 Some Bleeding Or Redness In The Saliva Is Normal For 24 Hours After An Impacted Tooth Exposure.
- 3 If There Is A Baby Tooth Present.
- 4 Dhutia Also Uses A Laser For Other Treatments That Require Excess Gum Tissue To Be Removed.
- 5 Wisdom Teeth And Canine Teeth Are The Most Common Teeth To Become Impacted, But Any Tooth Can Be Affected.
Tooth Exposure Of An Upper Central Incisor In An 8 Year Old Was Done Using A Diode Laser.
If surgical packing was placed, leave it alone. The treatment plan included tooth exposure to. Root exposure the root of a tooth is normally covered by the bone and gum supporting the tooth.
Some Bleeding Or Redness In The Saliva Is Normal For 24 Hours After An Impacted Tooth Exposure.
After exposure of an impacted tooth immediately following exposure of an impacted tooth: Do not disturb the wound. Most often, the procedure is performed when a tooth has been.
If There Is A Baby Tooth Present.
In a simple surgical procedure performed in the surgeon’s office, the gum on top of the impacted tooth will be lifted up to expose the hidden tooth underneath. Active orthodontic treatment was in progress. Greater risk of infection tmj problems developing an abscess trouble opening your.
Dhutia Also Uses A Laser For Other Treatments That Require Excess Gum Tissue To Be Removed.
Tooth exposure surgery refers to a procedure which is performed in cases where a tooth has failed to erupt properly. An impacted tooth is blocked or “stuck” underneath the gum line, and will not erupt into its correct position on its own. Most often, an impacted tooth will be a.
Wisdom Teeth And Canine Teeth Are The Most Common Teeth To Become Impacted, But Any Tooth Can Be Affected.
An impacted (unerupted) tooth is a tooth that fails to fully pass through the gum tissues as something (dense soft tissue, bone, tooth malposition, cysts, or another tooth) prevent its. Excessive bleeding that results in your mouth filling rapidly with blood can frequently be. The most common cause of physical trauma to the teeth is falls, which account for 65% of all cases.